Invisalign

Invisalign is a system of straightening teeth without the use of conventional braces.

The treatment consists of a series of nearly invisible, removable aligners that you change every two weeks, for the next set of aligners. Each aligner is individually manufactured for your teeth, and only your teeth. As you replace each aligner your teeth move - little by little, week by week - until they have straightened to the final position we have prescribed.

What's more, a 3D treatment plan in virtual reality shows the series of movements your teeth will make over the course of your treatment, this allows you to see at the start how your teeth are expected to look at the end of treatment. Once this is agreed, it is used to manufacture the custom - made clear aligners. Click here to see how this works.

Realigning teeth with removable aligners is not new. However, the computer technology used to design and construct a series of aligners with, finite corrections is the clever part.

Invisalign is recommended for orthodontic solutions with mild to moderate spacing or crowding. They are virtually undetectable, easy to use and comfortable to wear. Invisalign is only available for private patients and is becoming popular with adults and older teenagers.

For more information visit www.invisalign.co.uk

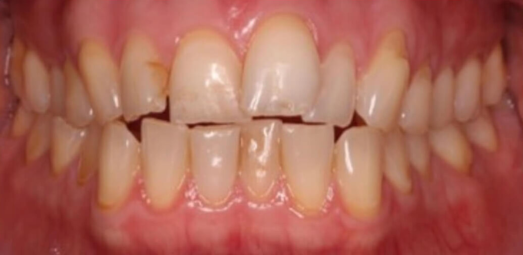
Before

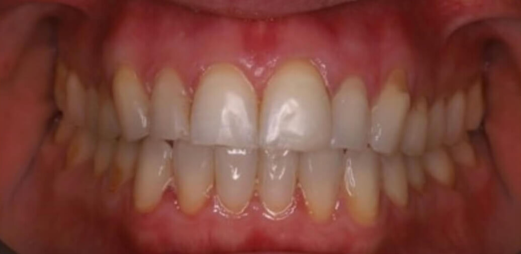
After

Invisalign Teen at Charles Landau Dentistry

At Charles Landau Dentistry, we understand that teenagers want a confident smile without the look and feel of traditional metal braces. Invisalign Teen offers a modern, discreet orthodontic solution using a series of virtually invisible, removable alignersthat are custom-made for each patient.

Unlike fixed braces, Invisalign Teen aligners can be removed for eating, brushing, sports, and special occasions — making them ideal for busy teenage lifestyles.

Our Platinum Invisalign Provider, Dr Nick Weir, has extensive experience helping teenagers achieve beautifully straight smiles with advanced Invisalign treatment planning and personalised care.

Why Choose Invisalign Teen?

Invisalign Teen has been specifically designed with teenagers in mind and includes several unique features:

  • Virtually Invisible Aligners: Clear aligners are discreet and difficult to notice in day-to-day life, school photos, social events, and sports activities.
  • Removable Convenience: Aligners can be removed for meals, brushing, flossing, contact sports, and playing musical instruments.
  • Blue Wear Indicators: Small blue indicators fade over time, helping parents, patients, and the dentist monitor whether aligners are being worn correctly.
  • Replacement Aligners Included: Invisalign Teen includes replacement aligners in case one is lost or damaged.
  • Designed for Growing Smiles: Special eruption tabs help guide developing teeth into their ideal positions as teenagers continue to grow.

Conditions Invisalign Teen Can Treat

At Charles Landau Dentistry, Invisalign Teen can effectively treat a wide range of orthodontic concerns, from mild to more complex cases.

  • Crowded Teeth: Crowding can make teeth difficult to clean properly, increasing the risk of plaque build-up, tooth decay, and gum disease.
  • Gapped Teeth: Spaces between teeth may lead to gum irritation and oral health issues due to reduced protection around the gums.
  • Deep Bite: A deep bite can contribute to tooth wear, jaw discomfort, and strain on the bite over time.
  • Underbite: An underbite may affect chewing function and lead to uneven tooth wear and jaw discomfort.
  • Open Bite: An open bite can impact speech and chewing efficiency and may contribute to jaw joint problems.
  • Crossbite: Crossbites can cause uneven tooth wear, gum recession, and long-term dental complications if left untreated.

Benefits of Invisalign Teen

Benefits for Teenagers

  • Nearly invisible appearance
  • Comfortable custom-fit aligners
  • Freedom to eat favourite foods
  • Easier brushing and flossing
  • No metal brackets or wires
  • Fewer interruptions to sports and social activities

Benefits for Parents

  • Fewer appointments compared to traditional braces
  • Shorter review visits
  • No emergency visits for broken wires or brackets
  • Improved oral hygiene during treatment
  • Digitally planned treatment with predictable results
  • Fewer interruptions to sports and social activities

How Invisalign Teen Works

  • Initial Consultation: Your journey begins with a consultation with Dr Nick Weir at Charles Landau Dentistry. We assess your teen’s smile, bite, and suitability for Invisalign treatment.
  • Digital Smile Scan: We use advanced digital scanning technology to create a precise 3D model of the teeth — with no messy impressions required.
  • Personalised Treatment Plan: Using Invisalign’s advanced ClinCheck® software, we map out every stage of tooth movement and show you a preview of the expected results before treatment even begins.
  • Custom Aligners: A series of bespoke aligners are created specifically for your teen. Each set is worn for approximately 1–2 weeks before progressing to the next aligner.
  • Regular Progress Reviews: Patients typically visit every 6–8 weeks so we can monitor progress and provide the next stages of aligners.
  • Smile Retention: Once treatment is complete, retainers help maintain the new smile and keep teeth beautifully aligned long-term.

Why Choose Charles Landau Dentistry for Invisalign Teen?

  • Platinum Invisalign Provider status
  • Experienced Invisalign clinician: Dr Nick Weir
  • Advanced digital smile scanning technology
  • Personalised treatment plans
  • Friendly and supportive care for teenagers
  • Flexible payment options available

Invisalign Teen Frequently Asked Questions

Is Invisalign Teen effective?

Yes — Invisalign Teen is clinically proven to effectively straighten teeth when worn as instructed.

How long does treatment take?

Most Invisalign Teen treatments take between 12–18 months, although treatment times vary depending on complexity.

Does Invisalign Teen hurt?

Some mild pressure or tenderness is normal when changing aligners, but most patients find Invisalign more comfortable than traditional braces.

Can aligners be removed for eating?

Yes. Invisalign Teen aligners should always be removed for meals and drinks other than water.

How many hours per day should aligners be worn?

For the best results, aligners should be worn for 20–22 hours per day.

Will retainers be needed afterwards?

Yes — retainers are essential to help maintain the final result after treatment.

Composite Bonding

Composite bonding is a procedure whereby a tooth-coloured composite resin is sculpted and bonded on to the tooth, either covering parts of it or the whole surface like a veneer.

Composite bonding is very versatile and can be used to treat various clinical scenarios including:

  • Improve the alignment of teeth
  • Close gaps between teeth
  • Improve the shape, size and colour of teeth
  • Improve the colour of dark teeth
  • Smile makeovers
  • Repair chipped or fractured teeth
  • Treat worn down teeth

Why do Composite Bonding

  • Composite bonding usually requires little or no preparation of the tooth structure, meaning less pain and discomfort.
  • Composite bonding can often be completed within a single visit for simpler cases without local anaesthetic.
  • Composite bonding is often cheaper than ceramic restorations such as veneers and crowns.
  • It is easier and cheaper to repair composite bonding compared to ceramic restorations, therefore easier and cheaper long-term maintenance.
  • No temporary restorations are required with composite bonding treatments.
  • Composite bonding is easier to adjust as per your desire once completed, whereas ceramic restorations cannot usually be altered once bonded in place.
  • Composite bonding is considered to be more “reversible”, as it can be removed with little or no damage to the underlying tooth if disliked.
  • For advanced complex cases that involve changing the bite, composite resin is an excellent way of test driving the new bite prior to moving on to ceramic restorations.

The Treatment

  • Consultation: We perform a comprehensive examination and take the time to listen to you.
  • Planning: We take all necessary information required to plan your case (often including photographs, x-rays and impressions).
  • Trial Smile: For complex cases, we can perform a mock-up of the expected result to give you a visual of the end result.
  • Composite Bonding: The composite resin is sculpted and bonded on to the teeth to be treated.
  • Polishing: The restorations are then shaped and polished to look and feel like natural teeth.
  • Review: A final check-over of the restorations with adjustments if necessary.

Teeth Whitening

What is teeth whitening?

Teeth whitening is a cosmetic procedure that involves the use of mild bleaching materials to gently lighten the colour of your teeth.

How does it work?

The active ingredients in dental whitening products is usually either hydrogen peroxide or carbamide peroxide. Both the in-chair Zoom! and at-home systems work in essentially the same way. After the gel is applied to the surface of the teeth, the active ingredient is broken down, oxygen gets into the enamel on the teeth and the tooth colour becomes lighter.

With the Zoom! in-chair system, a strong blue light is shone on the teeth to speed up the chemical reaction of the whitening product. The procedure takes about an hour and can make your teeth up to five or six shades lighter.

With the at-home system, you will be provided with plastic trays moulded to the shape of your teeth. A small amount of Whitening gel is placed in the trays and the trays are then placed in your mouth for up to an hour a day. The at-home system usually takes between two and three weeks to achieve a similar result to the in-chair system.

Are there any side affects?

Teeth whitening is a completely safe and harmless procedure as long as it is carried out under the supervision of your dentist.

Sensitivity during or a few days after treatment is a rarely reported side effect. However, that usually quickly disappears on its on or can be eased using a sensitive toothpaste and flouride mouthwash.

What causes teeth to go yellow?

The most common causes of tooth discolouration are drinks such as red wine, coffee and tea, food such as curry, and smoking.

Discolouration penetrates the surface of the tooth so brushing alone will never restore your teeth to their original colour.

How is it different from an over-the-counter whitening kit?

Many over-the-counter kits are dangerous because they contain acids and are abrasive. Teeth whitening toothpastes are safer to use and may remove some stains, but they will never affect the shade of your teeth.

Teeth whitening is not a simple procedure, and should only be carried out under the supervision of your dentist after a thorough checkup.

How long does teeth whitening last?

Depending on your diet, smoking habits, oral hygiene and other factors, teeth whitening lasts an average of a year and a half, after which some patients request a top-up.

White Fillings

What is a white filling?

A filling replaces a part of the tooth that has been lost due to decay or accidental damage. For over 150 years fillings have been made out of a silver material called amalgam. Although it is a strong material, it is certainly not the most attractive!

The alternative is what are called 'white fillings', using materials that match the colour of your tooth. The aim is to make it impossible to tell that a filling has been placed. Sometimes white fillings can be used to cover unsightly marks on teeth.

The technology behind white fillings has improved considerably in the last few years, and their strength will now match that of amalgam fillings.

What is involved?

Fillings are usually a very simple and straightforward process. The area around your tooth will be numbed with local anaesthetic and then the decay together with possible old fillings will be cleared out. Weak parts of the tooth may be removed to lessen the risk it will break off later.

Unlike silver fillings, white filling materials stick to the tooth surface. This means that less tooth is drilled away.

Once the cavity has been cleared out and conditioned, a filling material is matched to the colour of your tooth and then placed. It is set (hardened) with a specially designed bright light.

At the final stage, the filling is trimmed and polished so it fits in more naturally with the contours of the rest of your tooth.

Can you replace older amalgam (silver) fillings with white fillings?

Absolutely! In fact, we highly recommend it. White fillings are, in a majority of cases, almost impossible to notice. That's because they can be matched and shaped to the existing colour and contours of your tooth.

How does teeth whitening affect white fillings?

The colour of the fillings are permanent, they don't yellow (or whiten) like the rest of your teeth. To make a filling as invisible as possible, its colour is matched to the colour of the rest of your tooth at the time the filling is made.

If you are considering whitening your teeth, then we recommend doing it BEFORE you do a filling, so that all your teeth (including the new filling) are the colour you want them to be.

Crowns

What is a crown?

A crown (or a cap) is a hand-made cover designed to restore a damaged tooth to its natural look and strength. It has the shape and colour of a natural tooth.

Crowns are made from many different materials, for example, porcelain, porcelain bonded to gold or ceramics. High-end crowns like the Procera crown are meticulously designed to emulate your natural teeth as closely as possible in both look and feel, with all the natural ridges and even a semi-transparency around the edges so no one can tell it's not your original tooth!

As each person is an individual, so is each tooth in your mouth. Each crown is hand-crafted by a skilled dental technician to match the specific shape and colour of your natural teeth.

When is it needed?

We recommend a crown when too much of a tooth is lost due to decay or fracture and a filling is not considered strong enough. A crown will completely cover the tooth above the gum line and thus restores the original shape and function of the tooth. It is strong and is designed to fit in naturally with all your other teeth.

What is involved?

Your dentist will start by numbing your tooth. The tooth will then be shaped and if necessary old fillings will be replaced or a core will be built up. An impression is then taken using a rubber-like material. The impression (along with the shade of your teeth) is sent to a laboratory so that a dental technician can hand-make a crown in the specified material.

Meanwhile, a temporary crown is placed over the tooth to protect it until the permanent crown is ready to be fitted.

One or two weeks later, the new crown arrives from the laboratory and is then "cemented" in place. Your dentist will then make minor adjustments to make sure you can bite comfortably.

How does teeth whitening affect crowns?

The colour of crowns are permanent, they don't yellow (or whiten) like the rest of your teeth. To make a crown as natural-looking as possible, its colour is matched to the colour of the rest of your teeth at the time the crown is fitted.

If you are considering whitening your teeth, then we recommend doing it BEFORE you fit a crown, so that all your teeth (including the new crown) are the colour you want them to be.

Bridges

What is a bridge?

A bridge fixes a replacement tooth (or teeth) to natural teeth on either side of the gap. Some bridges have crowns at each end, others are fixed to the surface of the teeth next to the gap.

Just like crowns and veneers, bridges can be made from a variety of different materials. High-end porcelain bridges are individually hand-crafted by skilled dental technicians and designed to emulate your natural teeth as closely as possible so no one can tell you are missing a tooth.

When is a bridge needed?

Bridges are used to replace missing teeth. Appearance is one consideration, however, there are health reasons too. Teeth on either side of a gap can lean into the gap and alter the way the lower and upper teeth bite together, causing problems with your jaw. It can become more difficult to eat and food can also get packed into the gap, leading to both decay and gum disease.

What are the alternatives?

If you don't want a bridge, one alternative is a partial denture. This is a plate with a number of false teeth on it. It may have clasps to keep the denture in place in the mouth, some of which may show when you smile or open your mouth. Dentures are generally removed at night and must be carefully cleaned.

A better (though more costly alternative) are dental implants. Dental implants are inserted into the jaw during surgery then topped with a replacement tooth or a crown. They form a stable long-lasting solution and can be used for almost all adults regardless of age. For more information, please refer to the section on Implants.

Contact Us

020 7226 3424
info@charleslandau.co.uk
Book Now

Address

6 Prebend Street
Islington
London
N1 8PT
Find Us

Surgery Hours

Monday - Thursday: 8am-12pm & 1pm-4pm
Fridays: 8am-12:30pm & 1pm-3pm

Please note that phones close 15 minutes before closing times.

Closed all National Bank Holidays.

Out of hours appointments by arrangement.

© Copyright 2026 Charles Landau DentistryWeb Design By Toolkit Websites